La Parodontologia è quella branca dell’Odontoiatria che si occupa della malattia parodontale. Un tempo conosciuta con il nome di Piorrea, la malattia parodontale rappresenta oggi una delle cause più importanti della perdita di denti.

La malattia parodontale è un’infezione dei tessuti parodontali, cioè dei tessuti di supporto dell’elemento dentario. Essa comprende la gengivite e la Parodontite. Quando la malattia interessa i tessuti marginali (gengive marginali) si parla di gengivite; quando invece sono coinvolti i tessuti profondi, con perdita di attacco di denti e formazioni di tasche parodontali, si parla di Parodontite.
La malattia parodontale è una malattia infiammatoria cronica provocata dai microrganismi della placca batterica. La placca batterica è però condizione necessaria ma non sufficiente a causare la parodontite: gioca un ruolo indispensabile l’interazione con l’ospite, ovvero la qualità e la quantità delle difese individuali.
Tasca Parodontale
La gengiva sana presenta un solco profondo 2/3mm circa. La placca batterica che vi si deposita, se non viene accuratamente rimossa, provoca la distruzione dell’attacco che lo fa aderire alla radice del dente. Il solco così si approfondisce realizzando una formazione patologica che prende il nome di tasca parodontale. Vediamo perché la sua presenza è un segno oggettivo della malattia parodontale.
La tasca parodontale, espressione della malattia parodontale, può approfondirsi in assenza di sintomi evidenti, ci si può accorgere di avere problemi parodontali solo quando la situazione, già molto avanzata, si caratterizza per la comparsa di sintomi come la mobilità dei denti, il sanguinamento delle gengive, l’alitosi, la dolenzia diffusa, ma a questo punto il dentista può essere costretto a orientarsi verso soluzioni radicali.

Fattori ereditari
La parodontite costituisce una patologia multifattoriale, e indagini epidemiologiche sostengono l’ereditarietà della Parodontite Aggressiva e un’aggregazione familiare anche della Parodontite Cronica. I ricercatori hanno dimostrato una grave forma di Parodontite Aggressiva dovuta ad una mutazione sul cromosoma 11, e concentrano i loro studi sui geni dei mediatori immunitari (citochine).
Prevenzione
Dentisti, igienisti dentali e ricercatori sono concordi nel ritenere che la parodontite non possa insorgere in una bocca correttamente pulita. Allo stesso tempo è evidente come alcuni individui, specialmente se appartenenti a nuclei familiari suscettibili alla parodontologia, necessitino di una igiene molto più accurata di altri al fine di evitare l’insorgenza della parodontite. La prevenzione è quindi fondamentale. È fondamentale sottoporsi regolarmente a visite di controllo in modo da consentire al dentista di intervenire tempestivamente, senza aspettare la comparsa dei sintomi tipici della malattia avanzata, quali ad esempio la mobilità dei denti.
Terapia
Il primo obiettivo terapeutico è sicuramente quello di ripristinare una corretta igiene orale grazie all’aiuto della figura dell’igienista dentale e del dentista. Ciò comprende una o più sedute di igiene orale professionale, ablazione meccanica del tartaro, curettage gengivale, levigatura delle radici, motivazione all’igiene orale, comprensione ed esecuzione delle metodiche corrette di prevenzione. La Parodontite Cronica, nei casi più gravi, può richiedere un intervento chirurgico volto a pulire i tessuti coinvolti più profondi, ed eventualmente a rigenerare l’osso riassorbito.
Nell’ambito della terapia chirurgica della parodontite, la terapia Rigenerativa rappresenta senz’altro la terapia più raffinata ed evoluta.
Rigenerazione Parodontale
La rigenerazione è il modo più naturale e affidabile per ripristinare le proprietà positive dei processi intrinseci all’organismo umano. Lo scopo della rigenerazione consiste nel riprodurre e ricostruire una parte persa o compromessa in modo tale da ripristinare completamente l’architettura e la funzione dei tessuti persi o compromessi.
Con rigenerazione parodontale s’intende la ricostruzione di un nuovo attacco funzionale mediante la riformazione di tutti i tessuti del parodonto:
- Cemento
- Legamento parodontale (desmodonto)
- Osso alveolare
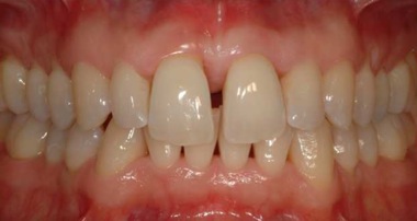
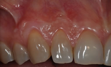
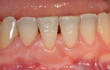
Rigenerazione e riparazione a confronto

L’approccio Rigenerativo
L’obiettivo del trattamento parodontale consiste nella riformazione di un attacco funzionale completo. La rigenerazione è il modo migliore per ottenere questo risultato:

> pubblicazione scentifica del Dr. Antonio Rupe
Domande e Risposte
Che cosa è la malattia parodontale?
Un tempo conosciuta con il nome di Piorrea, la malattia parodontale rappresenta oggi una delle cause più importanti della perdita dei denti. Essa è costituita da un complesso di malattie che, in forme diverse, possono colpire ogni fascia di età. La forma più frequente colpisce l’adulto nell’ età compresa tra i 40 ed i 60 anni. Il termine parodontopatia indica una malattia che interessa i tessuti deputati al supporto denti: il legamento parodontale, il cemento radicolare e l’osso alveolare. Tali strutture costituiscono il parodonto profondo. A queste tre strutture si devono aggiungere le gengive che rappresenta il cosidetto parodonto superficiale.
La parodontopatia è una malattia cronica e come tale non può essere eliminata in modo definitivo ma, può e deve essere curata.
Quale sono le cause che la provocano?
La causa principale è la placca batterica. La placca rappresenta l’insieme dei batteri che albergano naturalmente nel cavo orale. Non tutte le oltre 300 specie microbiche presenti nella bocca provocano la malattia parodontale ma, solamente alcune di queste specie sono considerate patogene. Affinché determinati tipi di batteri agiscano provocando lo sviluppo della parodontite è necessario che si verifichino determinate condizioni. Prima fra tutte che il paziente sia in qualche modo predisposto e suscettibile. Oltre al fattore ereditario altre condizioni o comportamenti possono favorire o aggravare la malattia parodontale. Tali fattori sono ad esempio la scarsa igiene orale, il tartaro sopra e sottogengivale, malattie sistemiche come il diabete, il fumo di sigaretta e la presenza di parafunzioni come il digrignamento ed il serramento dei denti durante la notte.
Che cosa è una tasca parodontale?
In condizioni di salute la gengiva aderisce al dente in modo da formare un sigillo che protegge le strutture profonde come l’osso, la radice ed il legamento parodontale dall’ aggressione di batteri e dai traumi. E’ possibile, in assenza di malattia, misurare lo spazio esitente tra denti e gengive con una sonda millimetrata: questo spazio detto solco è profondo da 1 a 3 mm. Quando la placca si accumula sul bordo gengivale, le sostanze rilasciate dai batteri favoriscono l’infiammazione della gengiva che tende a scollarsi approfondendo il solco e trasformandolo in una tasca. Una tasca parodontale è rappresentata quindi da uno stato di infiammazione a carico della gengiva che provoca uno spostamento piu apicale della giunzione tra dente e gengiva.
Come si riconoscono le malattie parodontali?
Le malattie parodontali diversamente da altre patologie del cavo orale come carie, afte etc. sono prevalentemente asintomatiche. Vi sono però dei segni caratteristici che devono fare insospettire il paziente: il sanguinamento delle gengive durante lo spazzolamento, la scopertura dei colletti dentali (recessioni), la presenza di gonfiore a livello del margine gengivale, la persistenza di alito cattivo, la ipersensibilità dentale agli sbalzi di temperatura, la presenza di ascessi ed infine la mobilità di alcuni elementi dentari.
In cosa consiste la visita parodontale?
La valutazione parodontale consiste nell’esaminare lo stato di salute dei tessuti di supporto dei denti e cioè le gengive, le ossa alveolari e il legamento parodontale oltre che assicurarsi sullo stato di salute dei denti e delle mucose. Per fare questo è necessario raccogliere alcuni dati relativi alla salute generale del paziente poiché, come detto, alcune malattie sistemiche possono influenzare negativamente lo stato di salute delle gengive. Poi, attraverso il sondaggio parodontale, il controllo della mobilità dentaria e dello stato dell’occlusione dentaria, si valuterà clinicamente la presenza o meno di malattia. Questi dati non sono però da soli sufficienti per formulare una diagnosi corretta. E’ necessario infatti eseguire il così detto set parodontale radiografico. Esso consiste in 14 o 18 radiografie endorali che sono in grado, con grande precisione, di fornire informazioni sulle strutture profonde che non possono essere valutate clinicamente. Inoltre spesso sono necessarie delle impronte per poter realizzare dei modelli in gesso delle arcate per poter valutare il modo nel quale i denti combaciano. Per finire possono essere richieste delle fotografie che serviranno come base iniziale a cui riferirsi durante la terapia per valutare i progressi fatti.
Come si curano le malattie parodontali?
Nonostante la ricerca in questo settore sia una delle più attive nell’ambito delle scienze biomediche, ancora oggi il fondamento della terapia parodontale si basa sulla eliminazione meccanica della placca batterica. Lo scopo ultimo della terapia è quello di rendere il cavo orale sano e facilmente mantenibile attraverso la semplice igiene domiciliare. Possiamo individuare varie fasi e livelli di terapia. Una prima fase, detta terapia iniziale, riguarda tutti i pazienti che si presentano alla osservazione. Essa consiste nella pulitura del bordo gengivale, della lucidatura delle superfici dentali e nell’ apprendimento delle corrette norme di igiene orale. Questa fase può essere sufficiente nei soggetti che presentano infiammazioni lievi come gengiviti. Nel caso ci si trovi di fronte a malattie parodontali moderate o severe, questa fase verrà seguita da una pulizia più profonda, di solito sotto anestesia locale, detta levigatura radicolare.Il terzo livello di intervento è la eliminazione per via chirurgica delle tasche e dei difetti ossei che non possono essere trattati con metodi conservativi. (Terapia chirurgica parodontale) Anche in questo caso abbiamo a disposizione diverse soluzioni. A seconda delle indicazioni sarà possibile effettuare una terapia chirurgica rigenerativa, cioè in grado di recuperare in tutto o in parte il tessuto distrutto dalla malattia, o una terapia chirurgica resettiva che tende ad eliminare radicalmente le tasche ed i difetti presenti. Il quarto livello di intervento è rappresentato dalla terapia di supporto o mantenimento. Questa fase è fra tutte la più importante e delicata. La mancata adesione alle norme di igiene domiciliare e una incostante presenza ai controlli professionali possono essere causa della ricorrenza della malattia con conseguenze gravi per il mantenimento di elementi dentari compromessi.
Elemento fondamentale nel trattamento parodontale è la presenza della figura della igienista dentale. L’igienista rappresenta il principale coordinamento tra paziente e parodontologo e svolge attivamente molte delle fasi di motivazione e controllo della terapia.
E’ importante curare questa malattia?
La malattia parodontale non è una malattia mortale ma, può essere altamente invalidante portando alla perdita precoce di elementi dentari con relative conseguenze sul piano funzionale (ridotta capacità masticatoria), sul piano estetico (modifica dei lineamenti delle labbra e del sorriso) e soprattutto sul piano piscologico (perdita di confidenza, difficoltà di relazioni con il prossimo). Oltre a ciò, recenti studi condotti negli Stati Uniti, per conto dell’Istituto Nazionale per le Ricerche Odontoiatriche (NIDR), hanno messo in luce l’esistenza di importanti legami tra malattie sistemiche e malattie parodontali. In particolare pazienti con parodontite sembrano essere più a rischio di sviluppare malattie cardiovascolari, osteoporosi e nelle donne ad avere gravidanze che esitano in nascite premature e sotto peso.













